Pulmonary Diseases

Seeking to understand and treat chronic lung diseases

Many chronic lung diseases, such as chronic obstructive pulmonary disease (COPD) and asthma, currently have no cure. Treatments available today can only help manage symptoms. Other conditions, like pulmonary sarcoidosis and lymphangioleiomyomatosis, lead to a gradual loss of healthy lung tissue. In cystic fibrosis-a common, life-limiting genetic disorder-lung disease is the leading cause of death, even though the disease affects multiple organ systems. This highlights the urgent need to better understand lung diseases and create new treatments that can slow down or permanently alter their progression.

Aging is associated with chronic inflammation and cellular senescence (the process by which cells stop dividing and lose function). Senescent cells release substances called the senescence-associated secretory phenotype (SASP), which contribute to chronic inflammation and can cause healthy cells to become senescent. Accelerated aging has been linked to several lung diseases driven by chronic inflammation, including pulmonary fibrosis and cystic fibrosis.

Pulmonary Fibrosis

Aging is a factor in many diseases, including idiopathic pulmonary fibrosis (IPF). As we get older it becomes hard for the body's tissues to repair themselves. Chronic inflammation is a key feature of lung fibrosis, a rare and age-related disease that causes scarring and thickening of the lung tissue. This scarring makes it difficult to breathe because it stiffens the lungs and prevents oxygen from entering the bloodstream.

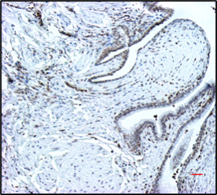
Slide of increased stain (brown) of histone H4K16Ac in lung

Targeting alveolar in lung injury and repair

Repeated injury to alveolar epithelial cells (AECs) is a significant contributor to excessive cell loss and abnormal fibrogenesis in idiopathic pulmonary fibrosis (IPF). Factors such as mechanical stress, hyperoxia, exposure to biotoxins, and free radicals result in lung cell injuries that stimulate the wound healing process and promote epithelial regeneration.

Drs. Nagaraja and Matrougui's labs preliminary studies have identified tripartite motif protein 72 (TRIM72) as playing a crucial role in repairing AECs, not only reducing tissue injury but also limiting the development of fibrosis.

The current project focuses on elucidating the mechanisms by which TRIM72 transitions AECs to a survival and fibrosis resolution state, as well as identifying the downstream targets of TRIM72 that contribute to the attenuation of fibrosis.

Targeting lung fibroblast in lung injury and repair

Fibroblasts are the main cells responsible for wound healing. In lung fibrosis, the fibroblasts are overactivated, resulting in excessive production of extracellular matrix and distortion of lung tissue.

Dr. Sanders' lab is focusing on the cellular and molecular mechanisms of lung injury and repair. Active studies involve elucidating epigenetic mechanisms of cellular senescence, inflammation, and aging. We also use epigenetic drugs (epi-drugs) to target chronic inflammation, to rejuvenate or reverse the repair capability of senescent cells.

Image at right shows increased stain (brown) of histone H4K16Ac in lung tissues from an IPF patient.

Cystic fibrosis

With the advancement of medicine, the life expectancy of cystic fibrosis (CF) patients has improved from the 30's to the 50's but also means that the aging CF population can develop worsening lung disease and diabetes, usually caused by chronic inflammation. We study the epigenetic mechanisms in CF, and establish methods to reduce senescence in CF as a novel therapeutic strategy.

CINID projects targeting inflammation in aging, cystic fibrosis, and lung fibrosis with epigenetic approaches are funded by the National Institute of Health (NIH).

Ongoing projects in the lab include:

  1. Histone acetylation in aging lung and in tissue injury repair
  2. The regulation of inflammatory genes by epigenetic reader proteins
  3. Metabolic control of histone methylation and DNA methylation in tissue injury and repair
  4. Role of methyl-binding protein in fibroblast activation
  5. Epigenetic regulation of SASP genes in cystic fibrosis

We use in vitro and in vivo models to explore epigenetic mechanisms underlying the chronic inflammation in aging and age-related diseases, and provide novel therapeutic targets.

Aging and Lung Diseases Working Group